忍者ブログ

たけうち接骨院

☎0561-32-3063   愛知県みよし市福田町山畑39-8

接骨院の利用について

当院だけでなく、他の接骨院も保険を取り扱う接骨院でしたら、
慢性期の症状・癒しでは、健康保険が使用できません。

当院で健康保険を利用できる負傷について

①捻挫(ねんざ)

②打撲(だぼく)

③挫傷(ざしょう)いわゆる肉離れ

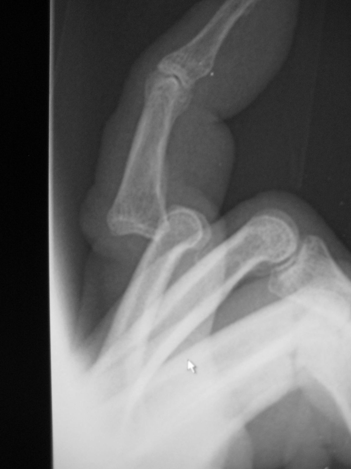
④骨折、脱臼の応急処置

⑤医師の同意のある骨折、脱臼の後療法(いわゆるリハビリ)

①~⑤に該当しない場合は、自費治療となります。

④に該当される療養者様は、提携病院(愛知とうぶクリニック)をご紹介します。



打撲(だぼく)



脱臼




脱臼


ねんざ:つき指


ねんざ




骨折
PR