たけうち接骨院
☎0561-32-3063 愛知県みよし市福田町山畑39-8
たけうち接骨院(交通事故専門接骨院)のご案内
ブログ・お知らせ
受付時間・アクセス・問い合わせ
たけうち接骨院が選ばれる理由
健康保険施術・自費施術
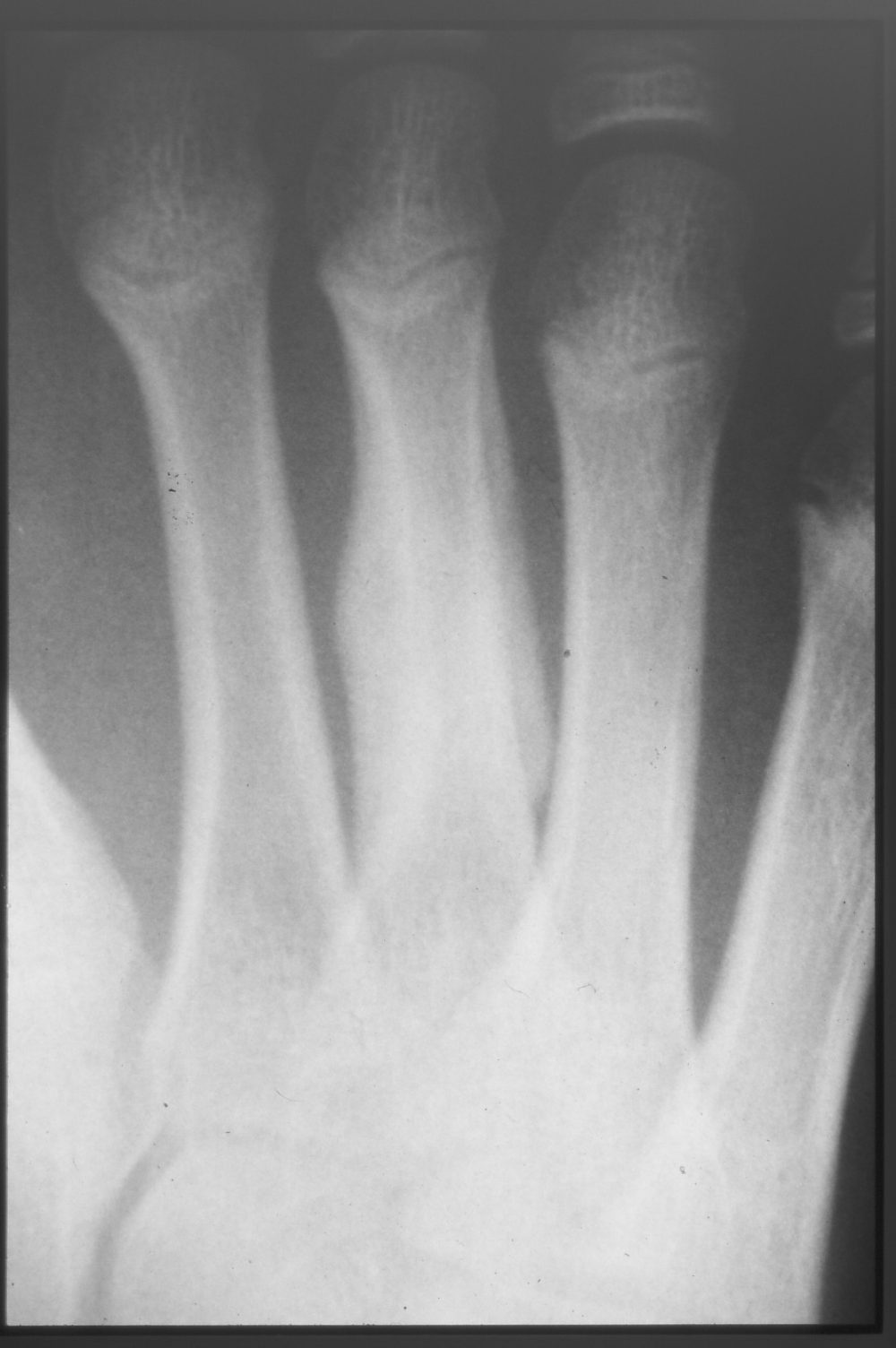
足指の疲労骨折
お知らせ
2019年03月02日
マラソンで、疲労骨折されました。完走されましたが、激痛だったそうです。
PR