たけうち接骨院
☎0561-32-3063 愛知県みよし市福田町山畑39-8
たけうち接骨院(交通事故専門接骨院)のご案内
ブログ・お知らせ
受付時間・アクセス・問い合わせ
たけうち接骨院が選ばれる理由
健康保険施術・自費施術
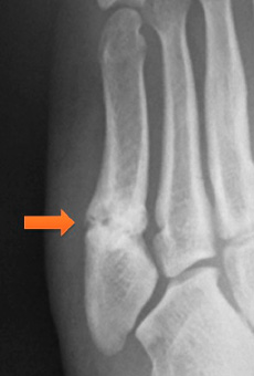
骨折
お知らせ
2018年12月28日
右足の小指を骨折された方の写真です。
医師の同意を頂き、接骨院でも施術が可能となります。
リハビリをして、スポーツ復帰にむけて頑張りましょう!!
PR