忍者ブログ

たけうち接骨院

☎0561-32-3063   愛知県みよし市福田町山畑39-8

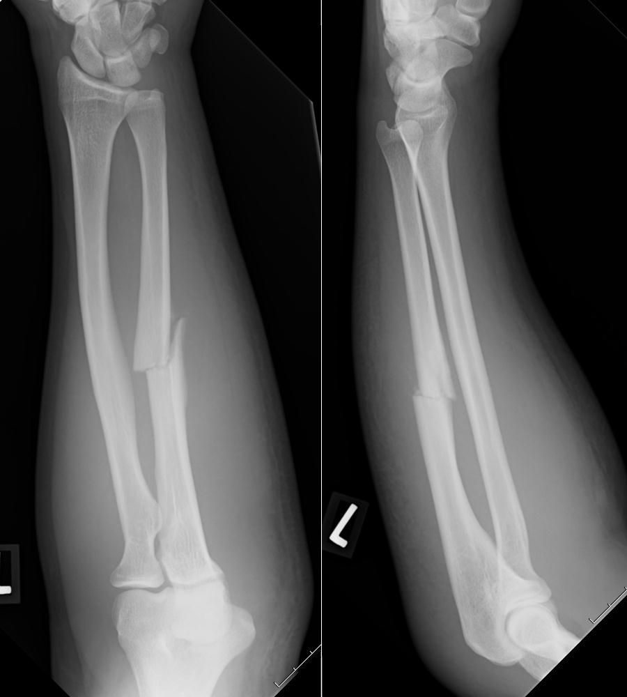
腕の骨折

骨折の応急処置は、当院で可能ですので、緊急時は時間外に関わらずご連絡下さい。

当院提携病院をご紹介しますので、一度ご相談下さい。

 

剪定作業中、高所から転倒負傷されました。

PR