たけうち接骨院
☎0561-32-3063 愛知県みよし市福田町山畑39-8
たけうち接骨院(交通事故専門接骨院)のご案内
ブログ・お知らせ
受付時間・アクセス・問い合わせ
たけうち接骨院が選ばれる理由
健康保険施術・自費施術
骨折
お知らせ
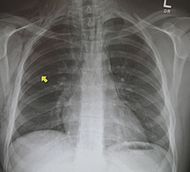
2019年01月09日
肋骨骨折の患者様レントゲンです。
脇腹の痛みを訴えての来院です。骨折の疑いがある場合は、提携医療機関を
ご紹介します。
お大事になさってください。
PR